メニュー閉じる

画像診断・治療部

ホーム 診療協力部門 画像診断・治療部

部門の特色

画像診断・治療部の検査業務は一般撮影、骨密度測定、CT造影、消化管造影、透視検査、血管造影、MRI検査、超音波検査、核医学検査など、幅広い画像情報を提供しています。画像診断機器やIVR(放射線診断技術の治療的応用)の発展は目を見張るものがあり、それに伴い画像読影や治療を行う放射線科医、機器を扱う診療放射線技師の役割は大きく、より高い専門知識の習得と技術の向上に努力しています。画像診断・治療部は、地域中核病院として地域の皆さまに高度な医療を提供するという西部病院の中心的な役割を担い、各診療科の先生方と密接な連携を保ち、適切かつ質の高い医療画像を提供できるように、常に心がけています。

一般撮影・骨密度検査室

骨塩定量検査では骨密度だけではなく骨質(海綿構造指標:TBS)の評価が可能になりました。骨密度が同じなのに、なぜか骨が折れやすい人がいます。骨強度は骨密度と骨質によって説明されますが、これまで骨密度が高い方に起きる脆弱性骨折の評価は難しいものでした。TBSを組み合わせることで骨密度と骨質の両方から評価することでより正確な骨粗しょう症診断が可能です。

TBSによる骨密度測定結果

マンモグラフィー

マンモグラフィー撮影は直接変換型FPD搭載の装置を有し、医師・技師・施設ともにマンモグラフィー精度管理中央委員会の認定を受けています。質の高い撮影を女性技師が行います。

 

マンモグラフィー施設認定証の更新しました                                  

CT検査室

320列CTが導入されています。最短0.275秒/回転であり、心臓CTやCTアンギオに威力を発揮します。新しい機械で、通常のCT検査でも高画質を得ながら被ばく線量を抑えることも可能です。

CTコロノグラフィー:上行結腸癌術前検査

 

 

当院は大腸CT検査技術施設認定を取得しています

MRI検査室

MRI検査室はフィリップス社製1.5T、3.0T装置2台で検査を行っています。一日約30~40件程の検査を行い、救急患者の検査にも対応しています。いずれの装置もフィリップス社最新アプリケーションを使用することが可能であり1.5T装置でも3.0T装置と同等の画像を得ることが出来ます。それぞれの装置の特徴を活かした高度な検査を行っています。

非造影心臓ドック・冠動脈MRA

核医学検査室

核医学では認知症診療の一つとして脳血流SPECTを施行しています。脳血流SPECTでは脳血流が低下している部位を調べることにより認知症の早期診断や4大原因であるアルツハイマー型認知症やレビー小体型認知症、血管性認知症、レビー小体型認知症、前頭側頭型認知症などを鑑別することが可能です。 かかりつけ医や認知症サポート医の皆様の認知症治療やケアに有意義となる画像を提供しています。

アルツハイマー型認知症:後部帯状回・楔前部・頭頂葉の血流低下を認める

超音波検査室

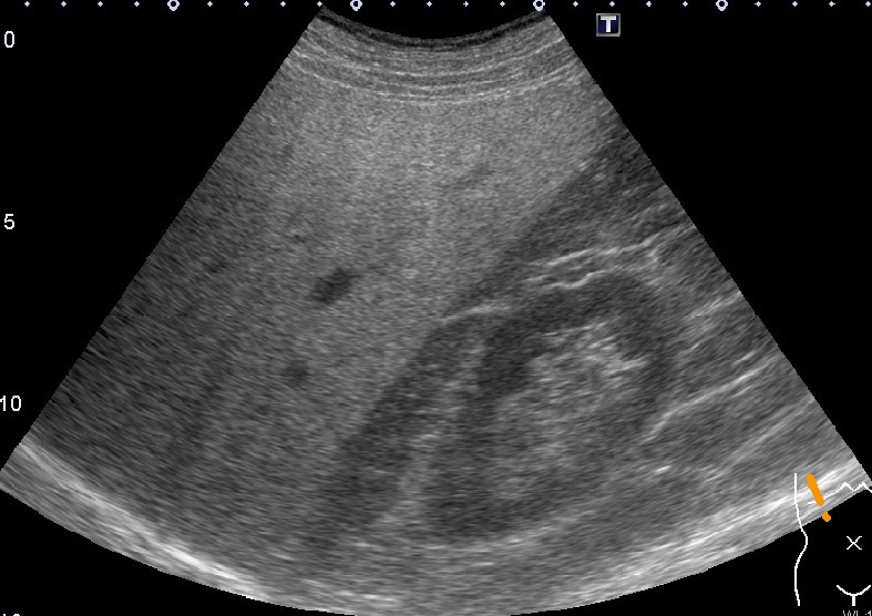
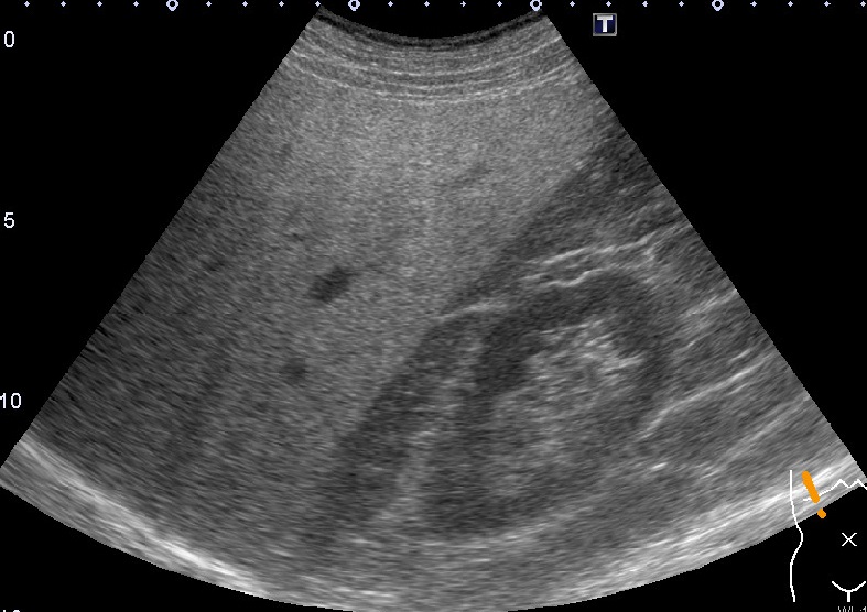
超音波検査では通常の腹部検査に加えFibroScanによる肝硬度が評価可能です。FibroScanはプローブからせん断波を発振し伝搬する速度を計測します。せん断波は肝臓が硬ければ早く伝搬し軟らかければゆっくりと伝搬する性質があります。また同時に肝臓の脂肪量も評価でき肝硬変だけでなく脂肪肝や非アルコール性脂肪肝炎(NASH)などの診断にも有用です。

 

 

上腹部超音波+肝硬度測定

非アルコール性脂肪肝炎(NASH)症例

血管撮影室

血管撮影室では、2台のFPD搭載フルデジタル血管撮影装置を備え、頭部・腹部血管撮影、心臓カテーテル検査など、年間1,800件以上の検査・治療を行っています。治療は針やカテーテルを血管や胆管などの臓器に進めて行うIVR(画像下治療)が主体で、脳動脈瘤コイル塞栓術、急性期脳梗塞血行再建術、不整脈に対するカテーテルアブレーション(心筋焼灼術)、心臓の冠動脈形成、原発性アルドステロン症への副腎サンプリング検査、透析シャント狭窄・閉塞のPTA(経皮経管的血管形成術)などを行っています。また閉塞性黄疸に対する経皮的胆管ドレナージ(PTCD)や膿瘍ドレナージなどの非血管系の治療も行っています。

TOP